TOP
Spine Clinic I will always provide care with sincerity and dedication.

Neck Disc & Straight Neck

Our neck is composed of seven vertebrae, and between each of these bones lies a structure called the 'disc', or in medical terms, the 'intervertebral disc' (the disc located between the bones). The intervertebral disc is highly elastic, absorbing the pressure exerted on the spine and preventing damage to the vertebrae. It also plays a crucial role in allowing smooth movement of the neck in all directions – forward, backward, and sideways. The disc is surrounded by a tough outer layer called the annulus fibrosus. With aging or external trauma, the annulus fibrosus may become damaged, and if this happens, the nucleus pulposus (the gel-like center of the disc) can herniate. This condition is commonly referred to as a 'herniated disc' or 'slipped disc'.

Symptoms

  • Stiffness and heaviness in the back of the neck.
  • Throbbing or tension headache from the back of the head to the forehead.
  • Constant heaviness and tightness in the shoulders.
  • Numbness or tingling sensation in the arms.
  • Feeling of pressure or weight in the neck or shoulders, as if a stone is placed on them.

Why does the pain from a herniated disc in
the neck affect not only the neck but also
the shoulders and arms?

Many people assume that a herniated disc in the lower back causes only lower back pain, and a herniated disc in the neck causes only neck pain. However, this is not always the case. The neck is made up of seven cervical vertebrae, and there are eight pairs of cervical nerves branching out from both sides. These nerves affect different areas of the body, so symptoms can vary depending on the location of the disc herniation. For example, if a disc herniation occurs between the 5th and 6th cervical vertebrae on the right side, it may cause pain in the right shoulder or hand.

Diagnosis of Cervical Disc Herniation

If the symptoms persist for more than two weeks, it is recommended to visit a hospital for a proper diagnosis. At the hospital, a detailed medical history and physical examination will be conducted to differentiate from other conditions. Diagnostic confirmation can be made through imaging tests such as X-rays, CT scans, or MRIs.

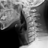
  • Normal Cervical X-ray:
    Gentle C-shaped
    curve

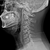
  • Flat Neck
    (Loss of C-curve)
    on X-ray

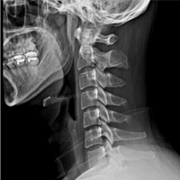
  • Forward Head Posture
    (Reverse C-curve)
    on X-ray

  • Normal Cervical
    MRI

  • Cervical Disc
    Herniation at C5/C6

Treatment of Cervical Disc Herniation

Even with a herniated disc, surgery is not always required. In most cases, symptoms can be improved and treated through non-surgical methods such as manual therapy or medication. However, if symptoms appear suddenly or are severe, such as sudden weakness in the arm leading to an inability to use it, immediate surgical intervention may be necessary.

Prevention of Cervical Disc Herniation

Many patients with cervical disc herniation mistake early symptoms for conditions like frozen shoulder or chronic shoulder pain, as the pain may radiate to areas such as the shoulders or back rather than the neck. It is crucial not to overlook cervical disc screening. If neck pain persists or radiates to the shoulders, arms, or hands, or if there are associated back pain, headaches, and symptoms lasting over two weeks, seek medical attention for accurate diagnosis and treatment. Prevention is key, and adopting healthy lifestyle habits can help prevent cervical disc herniation.

  • For those who work on a computer, it's best to raise the monitor to eye level.

  • Avoid using high or hard pillows when sleeping.

  • When reading newspapers, books, or using a smartphone, hold them at eye level.

  • For frequent drivers, it's recommended to rest the back of your head on the headrest.

상담신청

빠르고 친절하게 상담해드리겠습니다.

[처리방침]

상담신청