TOP
Spine Clinic I will always provide care with sincerity and dedication.

Lumbar Disc Herniation

What we commonly refer to as a "disc" is not an accurate medical term. The "disc" is actually an important structure called the intervertebral disc, which acts as a cushion between the vertebrae, absorbing shock when pressure is applied to the spine. A "herniated disc" occurs when the intervertebral disc protrudes toward the nerve, compressing it. This leads to inflammation, swelling, and pain. The correct medical term for this condition is intervertebral disc herniation.

Progression of Lumbar Disc Herniation

  • STEP 01
  • STEP 02
  • STEP 03
  • STEP 04

Symptoms of Lumbar
Disc Herniation

  • There is pain in the lower back, with a dull or aching sensation.
  • Numbness, pain, or pulling sensation in the buttocks, thighs,
    calves, or toes.
  • Weakness in any part of the lower body.
  • The lower back feels stiff or painful when bending to wash your
    hair in the morning.
  • Pain worsens with sneezing, coughing, or during bowel movements.
  • Resting relieves the pain, but it worsens with activity.

Symptoms Vary Depending on the Location of the Disc Herniation

Our lower back consists of 5 lumbar vertebrae and the sacrum, with an intervertebral disc between each vertebra. Therefore, the pain may vary depending on the location of the lumbar vertebrae and the direction of the disc herniation.

Causes of Lumbar Disc Herniation

  • Continuous pressure and degenerative change

    Lumbar disc herniation is often said to occur only in those who can walk, as upright posture aligns the spine with gravity, increasing the pressure on the vertebrae. Additionally, sitting increases spinal pressure by 20% compared to standing, which raises the risk for those who sit for prolonged periods. With the rise in sedentary activities, such as computer work, the number of people suffering from disc problems has also increased.

Diagnosis of Lumbar Disc Herniation

  • Lumbar disc herniation can be self-diagnosed through simple movements. Lie flat on your back with your knees extended, then raise the leg on the painful side. If a disc herniation is present, you will experience pulling or pain, making it difficult to lift the leg. Weakness or sensory changes may also suggest a disc problem. Imaging tests such as X-rays, CT scans, and MRIs can help confirm the diagnosis, with MRI being the most effective in visualizing the affected area. In some cases, myelography or electromyography (EMG) may also be required.

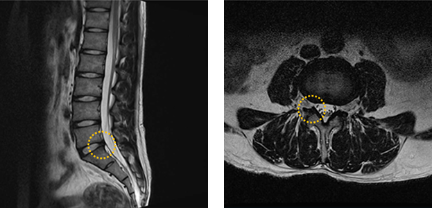
Normal Patient MRI

  • Lateral View MRI
  • Cross-sectional MRI

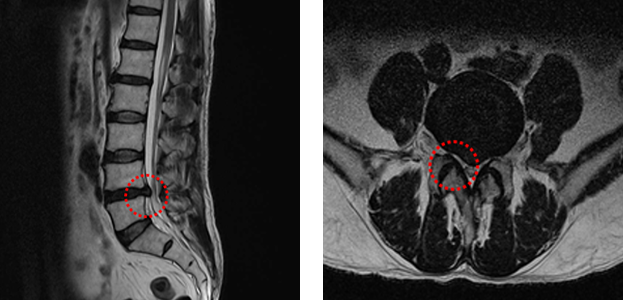
Disc Herniation MRI

  • Lateral View MRI
  • Cross-sectional MRI

Treatment and Prevention

Non-Surgical Treatment In the early stages of a disc herniation, physical therapy or manual therapy can help reposition the protruding disc and strengthen the weakened spine, reducing pain and slowing the progression of symptoms. However, if the condition advances and inflammation or adhesions develop around the compressed nerve, non-surgical treatments such as medication, injections, and therapies can help reduce inflammation, relax the muscles, and improve blood circulation.
Surgical Treatment If non-surgical treatments do not improve the pain, or if there is muscle weakness, sensory abnormalities, or loss of bowel/bladder control, surgical intervention may be necessary.
Prevention Prolonged sitting is inherently harmful to the spine, but poor posture while sitting can create even greater pressure on the spine. Sitting in a slouched position without proper back support adds an additional 20% pressure to the spine. Therefore, when sitting in a chair, it is important to sit deeply so that your hips are positioned far back, and ensure that your lower back is well-supported by the backrest, allowing the pressure on your spine to be evenly distributed. When lifting objects, lifting with just the back can place a load on the spine that is approximately 10 times the weight of the object. This excessive pressure accelerates degenerative changes in the intervertebral discs, and the weakened fibers of the disc can tear easily from even minor impacts, leading to disc herniation. The muscles in the lower back play an essential role in distributing the pressure on the spine and protecting it. When these muscles weaken, the ability to distribute pressure is reduced, which increases the strain on the spine. Therefore, regular aerobic exercise that strengthens the lower back muscles can help prevent disc herniation.

상담신청

빠르고 친절하게 상담해드리겠습니다.

[처리방침]

상담신청