TOP
Joint Clinic I will always provide care with sincerity and dedication.

Knee

Common Causes of Knee Pain:
Ligament Tears, Meniscus Damage, and Osteoarthritis

  • Ligament Tears

    When the knee is subjected to strong impact during daily activities or exercise, the ligaments can tear or become damaged. In particular, the anterior cruciate ligament (ACL) and posterior cruciate ligament (PCL) are common causes of knee pain. However, in cases of mild damage, the symptoms may be subtle, leading to neglect. If a cruciate ligament injury is left untreated, the cartilage inside the knee can also be damaged, potentially resulting in bone friction and worsening into osteoarthritis.

  • Meniscus Damage

    The meniscus is a crescent-shaped piece of cartilage located on the inner and outer sides of the knee joint. It helps reduce friction between bones, absorbs shock, and alleviates pressure in the knee. If meniscus damage is left untreated, the torn cartilage can gradually worsen, leading to osteoarthritis over time.

  • Osteoarthritis

    Osteoarthritis occurs when the cartilage that protects the knee joint deteriorates due to aging or joint injury. As the cartilage degenerates, the bones start to come into direct contact with each other, causing damage to the bones, ligaments, and other structures, leading to inflammation and pain. If osteoarthritis is not treated early and is left untreated, it can result in severe pain and joint deformities.

Causes of Osteoarthritis

  • Primary Osteoarthritis

    This form of arthritis occurs without any specific underlying cause, typically influenced by factors such as age, gender, genetics, and obesity.

  • Secondary Osteoarthritis

    This type of osteoarthritis develops after conditions like septic arthritis or tuberculosis arthritis, or as a result of severe trauma or repeated minor injuries that damage the joint cartilage.

Symptoms of Osteoarthritis

Pain caused by osteoarthritis is typically worse in the afternoon than in the morning.As the condition progresses to its later stages, swelling and fluid accumulation in the knee can occur, leading to persistent pain throughout the day. The main symptoms of osteoarthritis include:

  • A grinding or clicking sound in the knee, accompanied by
    aching or numbness
  • Occasional swelling of the knee without any apparent reason
  • Pain when climbing or descending stairs
  • Knee pain and limping after walking for long periods
    (30 minutes to 1 hour or more)
  • Tenderness when touching the inner side of the knee joint
  • Feeling of weakness in the knee, sometimes leading to
    the sensation of wanting to collapse or buckle

Osteoarthritis Diagnosis

Osteoarthritis can be relatively easily diagnosed using X-rays. However, in elderly patients, some degree of degenerative changes are a natural occurrence, so diagnosis should be made by combining medical history and physical examinations. Additionally, depending on the severity and duration of symptoms, ultrasound, MRI, and blood tests may be required.

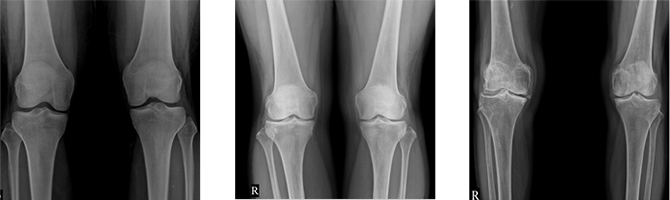
  • Normal X-ray
    Findings

  • Early-stage Osteoarthritis
    X-ray Findings

  • Advanced-stage Osteoarthritis
    X-ray Findings

Osteoarthritis Treatment and Prevention

Conservative
Treatment
Exercise
Therapy
Improving lifestyle and
preventing muscle weakening
Medication
Therapy
Treatment to reduce inflammation and alleviate pain in the joints
Injection Therapy a. Cartilage Injections,
DNA Injections:
Regenerative treatment for knee joint cartilage

b. Ligament Strengthening
Injections:
Treatment to strengthen the muscles and ligaments supporting the knee
Surgical Treatment If conservative treatments are no longer effective or joint deformities continue to progress, causing significant disruption to daily life, surgical treatments such as arthroscopic surgery or knee joint replacement surgery may be required.
Prevention Posture Avoid postures that strain the knee joint, such as squatting, in daily life.
Weight
Management
It is known that if body weight increases by 1 kg, the pressure on the knee joint can increase by 3 to 20 times. Therefore, it is advisable to maintain an appropriate weight.
Exercise It is beneficial to continue exercises that strengthen the surrounding tissues of the knee and the thigh muscles.

상담신청

빠르고 친절하게 상담해드리겠습니다.

[처리방침]

상담신청