TOP
척추클리닉 언제나 마음을 담아 정성껏 진료하겠습니다.

목디스크·일자목

우리의 목은 7개의 척추뼈로 구성되어 있고 이 뼈들 사이 사이 마다 ‘디스크’, 우리 말로는 ‘추간판(뼈 사이에 있는 판)’이 있습니다.
추간판은 매우 탄력성이 좋아서 척추에 가해지는 압력을 흡수해 척추뼈의 손상을 막아주며, 또 우리가 목을 앞, 뒤, 옆으로 부드럽게 움직일 수 있게끔 해주는 아주 중요한 구조물입니다. 이러한 디스크는 섬유륜이라는 단단한 조직이 감싸고 있는데, 노화 또는 외부 충격으로 섬유륜이 손상되고, 이 부분을 통해서 추간판 안에 있는 수핵이 탈출하게 되면 우리가 흔히 말하는 ‘추간판 탈출증’이 발생하게 됩니다.

증상

  • 뒷목이 뻣뻣하고 항상 무겁다.
  • 뒷통수부터 이마까지 머리가 지끈지끈하고 아프거나 두통이 있다.
  • 어깨가 항상 무겁고 결린다.
  • 팔이 저리고 당긴다.
  • 뒷목이나 어깨에 돌을 하나 올려놓은 듯한 느낌이다.

목디스크가 있는데 왜 목뿐 아니라
어깨, 팔까지 아픈 걸까요?

흔히 허리디스크가 있으면 허리가 아프고, 목디스크가 있으면 목이 아플 거라 생각하는 경우가 많지만 반드시 그런 것만은 아닙니다.
우리 목은 7개의 경추로 구성되어 있고 경후의 양측으로 8쌍의 목신경이 나오는데, 그 신경들이 영향을 미치는 신체 부위가 다르기 때문에 어디에 디스크가 발생했는지에 따라 그 증상들이 달라질 수 있습니다.
예를 들어서 경추 5번과 6번 사이의 디스크가 ‘우측’으로 발생했다면 우측 어깨나 손의 통증이 발생할 수 있습니다.

목디스크의 진단

위와 같은 증상이 2주 이상 지속되는 경우, 병원에 내원하여 진단을 받아보시는 것이 좋습니다.
병원에 내원하시면 문진과 신체검사를 통해서 다른 질환과 감별을 하게 되며, X-RAY나 CT, MRI같은 영상 검사를 통해서 질병 확진을 할 수 있습니다.

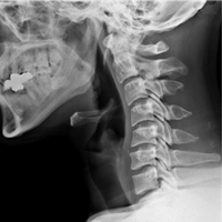
  • 정상 경추 X-RAY
    완만한 C자 커브

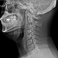
  • 일자목 X-RAY
    C자 커브 소실

  • 거북목 X-RAY
    역 C자 커브

  • 정상 경추 MRI

  • 경추 5/6 추간판탈출증
    (디스크)

목디스크의 치료

디스크가 있다고 해도 꼭 수술적인 치료가 필요한 것은 아닙니다. 오히려 대부분의 경우에는 도수치료나 약물치료 등 비수술적 치료를 통해 증상 개선과 치료가 가능하기 때문입니다. 하지만 증상이 갑자기 나타나거나 극심한 경우, 예를 들어 갑자기 팔에 힘이 빠져서 팔을 못쓰게 되는 경우 등에는 바로 수술적 치료가 필요할 수 있습니다.

목디스크의 예방법

목디스크 환자분들 중 디스크의 초기 증상이 나타났을 때 오십견 혹은 만성 어깨통증으로 오인하시는 경우가 상당수인데, 그 이유는 목이 아프지 않고 어깨, 등을 비롯해 다른 부위에 통증이 있기 때문입니다. 여러분들은 목 디스크 검진을 소홀히 하지 마시고 목 통증이 계속되거나 어깨나 팔 혹은 손의 통증이 발생하는 경우 등쪽의 통증, 두통이 있는 경우, 그리고 이러한 증상이 보름 이상 지속되는 경우에는 꼭 병원에 내원하여 적절한 진단과 치료를 받는 것이 좋습니다.
우리가 알다시피 모든 병은 예방이 중요하며 목디스크도 예외는 아닙니다. 목디스크를 예방할 수 있는 좋은 생활 습관들은 다음과 같습니다.

  • 컴퓨터 작업을 하시는 분들은 컴퓨터의 모니터를 눈높이까지 높여주는 것이 좋습니다.

  • 주무실 때 사용하는 베개는 너무 높거나 딱딱한 것을 사용하지 않는 것이 좋습 니다.

  • 신문이나 책, 스마트폰을 보실 때에는 눈높이에 맞춰서 들고 보시는 것이 좋습 니다.

  • 운전을 자주 하시는 분이라면, 뒷머리를 목 받침대에 대시는 것이 좋습니다.

상담신청

빠르고 친절하게 상담해드리겠습니다.

[처리방침]

상담신청