TOP
관절클리닉 언제나 마음을 담아 정성껏 진료하겠습니다.

무릎

무릎 통증의 대표적인 원인으로는
인대 파열, 반월상연골 손상, 퇴행성관절염이 있습니다.

  • 인대 파열

    일상생활이나 운동 중에 무릎에 강한 충격이 가해지면 인대가 끊어지 거나 손상될 수 있습니다. 특히 전방십자인대와 후방십자인대는 무릎 통증을 유발하지만, 심하지 않은 경우에는 증상이 경미해 방치하게 되는 경우가 많습니다. 하지만 십자인대 손상을 방치하면 무릎 안의 연골이 손상되고, 이로 인해 뼈가 마찰을 일으켜 퇴행성관절염으로 악화되기도 합니다.

  • 반월상연골 손상

    반월상 연골은 무릎관절 안쪽과 바깥쪽에 각각 위치하고 있는 반달 모양의 물렁뼈이며 무릎 관절에서 뼈와 뼈 사이 마찰을 줄여주고 충격 흡수와 압력을 감소시키는 역할을 합니다. 반월상연골 손상을 방치하게 되면 찢어진 연골판의 손상 부위가 점차 커져 퇴행성관절염으로 이어 지게 됩니다.

  • 퇴행성관절염

    무릎 관절을 보호하고 있는 연골에 노화 또는 관절 부상으로 인해서 이 연골이 퇴화되고, 뼈와 뼈가 맞닿아 뼈, 인대 등에 손상이 일어나 염증과 통증이 생기는 질환입니다. 퇴행성관절염을 초기에 치료하지 않고 방치하면 극심한 통증과 관절의 기형이 찾아 옵니다.

퇴행성관절염 원인

  • 일차성 관절염

    특별한 기질적인 원인이 없이
    나이나 성별, 유전, 비만 같은 요인에 의해서 발생

  • 이차성 관절염

    세균성 관절염이나 결핵성 관절염에 걸린 후 혹은 심한 충격이나
    반복적인 가벼운 외상으로 인해 관절 연골이 손상되어 발생

퇴행성관절염 증상

관절염으로 인한 통증은 대게 오전보다는 오후에 심하게 느끼며,
말기로 진행하게 되면 무릎이 붓고 물이 차며 종일 통증을 느끼게 됩니다.
퇴행성관절염의 주요한 증상은 다음과 같습니다.

  • 무릎에서 소리가 나면서 쑤시고 저리다
  • 이유 없이 무릎이 부은 경험이 있다
  • 계단을 오르내릴 때 통증이 있다
  • 오랫동안 (30분~ 1시간 이상) 걸으면 무릎 통증이 생기고 절뚝 거리게 된다
  • 무릎 뼈 안쪽을 만지면 아프다
  • 무릎에 힘이 빠지며 주저 앉고 싶을 때가 있다

퇴행성관절염 진단

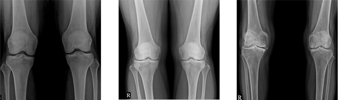
퇴행성관절염은 X-ray를 이용하여 비교적 쉽게 진단이 가능하지만, 고연령자의 경우 어느 정도의 퇴행성 변화는 자연스러운 현상이기 때문에 문진 및 이학적 검사를 종합하여 진단해야 합니다. 또한 증상의 정도와 증상이 지속된 기간 등에 따라 초음파, MRI, 혈액검사 등이 필요할 수 있습니다.

  • 정상 X-ray 소견

  • 초기관절염 X-ray 소견

  • 말기관절염 X-ray 소견

퇴행성관절염 치료 및 예방법

보존적 치료 운동요법 생활습관을 개선하고 근육의
약화를 방지
약물요법 관절의 염증을 가라 앉혀
통증을 줄이는 치료
주사치료 a. 연골주사, DNA주사:
무릎관절내의 연골재생치료
b. 인대강화주사:
무릎을 지지하는 근육이나 인대의 강화치료
수술적 치료 보존적인 치료에도 불구하고 더 이상 증상의 호전이 없거나 관절의 변형이 계속 진행되어 일상생활에 지장이 극심할 경우에는 관절내시 경수술이나 인공관절치환술 등의 수술적 치료가 필요할 수 있습니다.
예방 자세 쪼그려 앉는 등 일상생활에서 무릎 관절에 무리를 주는 자세를 피합 니다.
체중관리 체중이 1kg이 증가하게 되면 무릎 관절이 받는 압력은 3배에서 최대 20배로 증가하는 것으로 알려져 있습니다.
때문에 평소 적정 체중을 유지하기 위해 노력하는 것이 좋습니다.
운동 무릎의 주변 조직과 대퇴근력을 강화시키는 운동을 지속하시는 것이 좋습니다.

상담신청

빠르고 친절하게 상담해드리겠습니다.

[처리방침]

상담신청