TOP
관절클리닉 언제나 마음을 담아 정성껏 진료하겠습니다.

어깨

어깨 통증은 선반 위의 물건을 들려고 손을 들었을 때, 옷을 입으려고 팔을 뒤로 돌렸을 때, 안전벨트를 매려고 손을 반대편으로 돌렸을 때 등 일상생활의 움직임에서 발생한 경험 많으실 겁니다. 이렇게 어깨의 통증이 발생하면 대부분 “내가 오십견이 생겼구나” 하고 자가 진단을 하십니다. 그렇지만 어깨에 발생하는 통증의 원인에는 흔히들 ‘오십견’ 이라고 말하는 ‘유착성 관절막염’ 외에도 회전근개질환, 석회성 건염, 충돌증후군 등이 있으며 심지어 목디스크에 의해서도 어깨 통증이 발생할 수 있습니다. 이렇게 여러 가지 원인에 의해서 어깨 통증이 발생할 수 있기 때문에 정확한 진단을 받으시고 질병에 맞는 적합한 치료를 받는 것이 좋습니다.

  • 오십견

  • 석회성건염

  • 회전근개질환

  • 목디스크

  • 어깨충돌 증후군

오십견이란?

어깨 관절을 둘러싼 관절막이 퇴행성 변화를 일으키면서 염증을 유발하고, 이로 인해 어깨 관절강이 유착되어서 팔을 움직였을 때 통증이 유발되고 운동범위의 제한이 오는 질병입니다.
오십대에 많이 발생한다고 해서 붙여진 이름이지만 최근에는 ‘사십견’, ‘삼십견’이라는 말이 생길 정도로 발병 연령층이 점차 낮아지고 있는 추세이며, 책상 앞에만 앉아 있어 운동량이 부족한 10대 20대 에서도 많이 나타나고 있습니다.
이 오십견은 마치 어깨가 얼어붙은 것처럼 움직이지 않는다고 해서 영어로 ‘frozen shoulder’, 우리 말로는 ‘동결견’이라 하며, 정확한 명칭은 어깨관절을 싸고 있는 관절낭이 오그라들어 문제를 유발한다고 하여 ‘유착성 관절낭염’이라고 합니다.

오십견 발생 원인
  • 01노화에 따른 퇴행성 변화
  • 02어깨 관절의 부상
  • 03오랜시간 어깨관절을 사용하지 못하는 경우
  • 04당뇨병 및 갑상선 질환같은 전신질환 환자

오십견 증상
  • 설거지 할 때 어깨 뒤쪽과 손목이 아프다.
  • 팔 통증으로 윗옷을 입고 벗기가 힘들다.
  • 주먹을 쥐거나 팔을 올릴 수 없다.
  • 바지 뒷주머니에 손을 넣을 수 없다.
  • 머리를 빗고 드라이 할 때 어깨가 쑤신다.
  • 양치질이나 면도를 할 때 불편하다.
왜 밤에 어깨통증이 더 심해지나요?

오십견이 더욱 심하게 진행되면 팔을 움직일 수 없을 정도로 통증이 심해져 정상적인 생활이 불가능할 정도로 관절운동 범위가 좁아지게 됩니다. 처음에는 팔이 뒤로 돌려 올리는 동작부터 굳어지고 다음은 옆으로 들어올리는 동작, 마지막은 앞으로 들어올리는 동작이 굳어지게 됩니다. 특히 오십견은 밤에 증상이 심해지는 특징이 있는데, 관절염이나 신경통 등의 질환은 움직일 때 혹은 움직이고 나서 통증이 생기는 것과 달리 오십견은 밤에 가만히 누워 있을 때 통증이 더욱 심해집니다.

오십견 진단
  • 문진 및
    신체검사
  • X-ray
  • 초음파 및 MRI

오십견 치료
  • 주사요법 & 약물치료
  • 운동요법
  • 관절강 내 유착박리술

통증예방 스트레칭
  • 양손을 깍지 끼고 가슴 앞에 모았다가 손바닥이 바닥으로 향하도록 아래로 뻗습니다.
  • 다시 양손을 가슴으로 가져온 뒤 앞으로 뻗은 채 상체를 좌우로 틀어줍니다.
  • 다시 양손을 가슴으로 가져와 손바닥이 하늘로 향하도록 위로 뻗은 뒤 상체를 좌우로 숙여 줍니다.
  • 오른손으로 왼쪽 어깨를 잡고 팔을 크게 돌려줍니다. 반대로도 합니다.
  • 양발을 왼쪽 옆으로 가지런히 한 채로 목 뒤에 깍지를 끼고 상체를 왼쪽으로 틀었다가 돌아와 오른쪽으로 숙입니다. 이를 서너 차례 반복합니다. 발의 방향을 바꿔 반대로도 합니다.

회전근개 질환이란?

‘회전근개’는 어깨에 붙은 힘줄로서 팔을 들고 돌리는 역할을 하는 힘줄입니다.
그런데 나이가 들고 어깨를 많이 쓰게 되면 반복적인 충격이나 의해서 회전근개에 염증이 발생하고, 그로 인해 통증이 발생하게 됩니다. 이런 질병을 통틀어 ‘회전근개 질환’이라고 하며 이것이 진행되면 어깨의 뼈가 자라나고 힘줄에 염증이 생겨 통증이 발생하며, 어깨를 들 때 팔의 힘도 떨어지게 됩니다. 이때를 충돌 증후군이라고 하며 적절한 치료를 받지 않으면 힘줄이 끊어지는 ‘회전근개 파열’이 발생하게 됩니다.

회전근개 손상 원인
  • 01노화에 따른 퇴행성 변화
  • 02팔을 많이 쓰는 일을 하는 경우
  • 03선천적으로 관절이 불안정한 경우
  • 04 어깨에 외상을 받은 과거력이 있는경우

회전근개 손상 증상
  • 오십견과 달리 어깨의 특정 부위의 통증이 있다.
  • 운동범위가 감소하는 오십견과 달리 팔을 돌리기가 가능하다.
  • 팔에 힘이 빠진다.
  • 파열된 위치를 손가락으로 누르면 심한 압통이 있다.
  • 어깨를 회전시키면 어깨에서 마찰되는 소리가 들린다.

회전근개 손상 증상

회전근개 파열은 환자 분 내원 시 자세한 문진을 하고 신체검사를 통해서 쉽게 진단할 수 있습니다. 예를 들어서 아픈 팔을 반대쪽 팔로 들게 했을 때 아픈 팔이 들어 올려지면 회전근개 파열로 볼 수 있고, 들어 올려지지 않는다면 오십견일 가능성이 높습니다. 가끔 전문병원이 아닌 병원에서 엑스레이만 촬영하고 어깨에 아무 문제가 없다고 들으시는 분들도 계신데, 회전근개 파열 치료가 제대로 안 되면 오십견이 동반되는 경우가 많고 이럴 때는 두 질환을 구별하여 진단하기는 쉽지가 않으므로 정확한 진단이 꼭 필요합니다. 회전근개는 초음파나 MRI를 통해서만 정확하게 진단할 수 있습니다.

회전근개 질환 치료
  • 주사요법 & 약물치료
  • 운동요법
  • 수술적 치료

통증예방 스트레칭
  • 양손을 깍지 끼고 가슴 앞에 모았다가 손바닥이 바닥으로 향하도록 아래로 뻗습니다.
  • 다시 양손을 가슴으로 가져온 뒤 앞으로 뻗은 채 상체를 좌우로 틀어줍니다.
  • 다시 양손을 가슴으로 가져와 손바닥이 하늘로 향하도록 위로 뻗은 뒤 상체를 좌우로 숙여 줍니다.
  • 오른손으로 왼쪽 어깨를 잡고 팔을 크게 돌려줍니다. 반대로도 합니다.
  • 양발을 왼쪽 옆으로 가지런히 한 채로 목 뒤에 깍지를 끼고 상체를 왼쪽으로 틀었다가 돌아와 오른쪽으로 숙입니다. 이를 서너 차례 반복합니다. 발의 방향을 바꿔 반대로도 합니다.

석회성 건염이란?

석회성 건염은 40대 연령층에서 많이 발생하는, 어깨 힘줄에 석회질이 생기는 질병입니다.
석회질이 생기는 정확한 원인은 밝혀져 있지 않지만, 힘줄세포가 연골세포로 변해 석회가 생기는 것으로 알려져 있으며 이 석회질이 생겼다가 흡수되면서 심한 통증이 발생합니다.

석회성 건염 증상
  • 외상이 없는데도 불구하고 갑작스럽게 극심한 어깨 통증이 있다.
  • 질병이 의심되는 부위에 심한 압통이 있다.
  • 어깨 통증으로 밤에 잠을 이루기 힘들다.
  • 통증이 나타났다 사라진다.
  • 팔을 앞이나 옆으로 들어올리기가 힘들다.

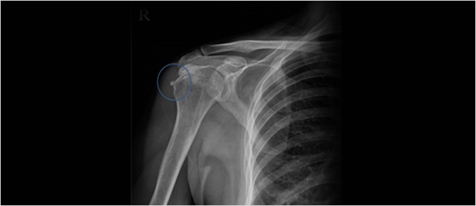
석회성 건염 진단

석회성 건염 X-ray

석회성 건염은 X-ray 촬영을 통해 힘줄에 생긴 석회질을 확인하는 방법으로 진단이 가능합니다.

통증예방 스트레칭
  • 양손을 깍지 끼고 가슴 앞에 모았다가 손바닥이 바닥으로 향하도록 아래로 뻗습니다.
  • 다시 양손을 가슴으로 가져온 뒤 앞으로 뻗은 채 상체를 좌우로 틀어줍니다.
  • 다시 양손을 가슴으로 가져와 손바닥이 하늘로 향하도록 위로 뻗은 뒤 상체를 좌우로 숙여 줍니다.
  • 오른손으로 왼쪽 어깨를 잡고 팔을 크게 돌려줍니다. 반대로도 합니다.
  • 양발을 왼쪽 옆으로 가지런히 한 채로 목 뒤에 깍지를 끼고 상체를 왼쪽으로 틀었다가 돌아와 오른쪽으로 숙입니다. 이를 서너 차례 반복합니다. 발의 방향을 바꿔 반대로도 합니다.

상담신청

빠르고 친절하게 상담해드리겠습니다.

[처리방침]

상담신청