TOP
척추클리닉 언제나 마음을 담아 정성껏 진료하겠습니다.

허리디스크

우리가 흔히들 말하는 ‘디스크’라고 하는 것은 정확한 병명은 아닙니다.
원래 디스크라는 것은 척추에 충격이 가해질 때 척추 뼈와 뼈 사이에서 완충작용을 해주는 중요한 부위이고, 우리 말로는 ‘추간판’이라고 합니다.
‘허리디스크’란 이 추간판이 신경이 있는 쪽으로 튀어나와서 신경을 누르고, 그로 인해 염증이 발생하고 부종이 생기면서 통증이 발생하는 것을 말합니다. 정확한 병명은 ‘추간판 탈출증’이라고 합니다.

허리디스크 진행과정

  • STEP 01
  • STEP 02
  • STEP 03
  • STEP 04

허리디스크의 증상

  • 허리가 아프고 쑤시거나 묵직한 통증이 있다.
  • 엉치 또는 허벅지, 종아리, 발끝이 저리거나, 아프거나, 당기는 느낌이 있다.
  • 하반신의 어떤 부위에 힘이 없다.
  • 아침에 머리를 감기 위해 머리를 숙일 때 허리가 뻣뻣하거나 통증이 온다.
  • 재채기, 기침, 또는 배변 시 통증이 더욱 심해진다.
  • 누워서 쉬면 통증이 줄지만, 활동을 하면 아파지는 증상이 있다.

‘어느 곳에 디스크가 발생하였나’에 따라 달라지는 증상

우리 허리는 요추 5개와 천추로 구성되어 있고, 그 사이사이 마다 추간판이 있습니다. 따라서 요추 위치, 디스크의 좌우 방향에 따라 통증이 다르게 나타날 수 있습니다.

허리디스크의 원인

  • 지속적으로 가해지는 압력과 퇴행성 변화

    허리디스크는 서서 걸어 다닐 수 있는 사람만 걸리는 병이라고도 하는데, 직립 보행을 하는 경우 척추의 축이 중력 방향과 같기 때문에 그만큼 중력이 큰 작용을 하며, 중력에 의해서 척추에 걸리는 압력이 높아지기 때문입니다. 또한, 서있을 때보다 앉아 있을 때 척추에 미치는 압력은 20% 더 커지므로, 앉아 있는 시간이 많은 사람일수록 디스크에 걸릴 확률이 높습니다. 따라서 현대에 와서 앉아서 하는 컴퓨터 작업 시간이 많아진 만큼, 디스크 문제로 고생하는 사람들의 수가 늘어나고 있습니다.

허리디스크의 진단

  • 허리디스크는 간단한 동작으로 자가 진단을 해볼 수 있습니다. 똑바로 누워서 무릎을 편 상태에서 아픈 쪽의 다리를 올려보세요. 디스크가 있는 경우에는 다리가 당기고 아파서 다리를 많이 올릴 수 없습니다. 근력이 약화되어 있거나 감각 이상 등이 있을 경우에도 디스크를 의심해 볼 수 있습니다. 영상학적 검사로는 X-ray나 CT MRI 등이 있는데, 이중에서 MRI가 병변을 가장 명확하게 보여주는 검사입니다. 이밖에 척추관 조영술이나 근전도 검사가 필요한 경우도 있습니다.

정상환자 MRI

  • 측면 MRI
  • 단면 MRI

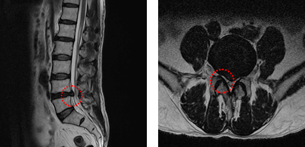
디스크환자 MRI

  • 측면 MRI
  • 단면 MRI

치료 및 예방법

비수술치료 디스크 초기에는 튀어나온 디스크를 제자리로 되돌려주고, 약해진 척추를 강화시키는 운동 치료나 도수치료만으로도 디스크로 인한 통증을 줄이고, 증상의 진행을 늦추는 등의 치료가 가능합니다. 하지만 질환이 진행되어 압박을 받고 있는 신경에 염증이나 유착이 생긴 경우 에는 약물치료나 주사치료 및 비수술치료를 시행 하여 염증을 가라 앉히고 근육을 이완시켜 혈액 순환을 원활하게 해주는 치료를 먼저 합니다.
수술치료 비수술 치료에도 통증에 호전이 없는 경우, 다리에 힘이 빠지거나, 감각 이상이 생기는 경우, 항문에 힘이 들어가지 않아서 대소변 조절이 안 될 경우에는 수술적 치료를 시행하는 것이 좋습니다.
예방법 오래 앉아 있는 것 자체로도 척추에 안 좋지만, 잘못된 자세로 앉아 있는 것은 척추에 더 큰 압력을 유발합니다. 허리를 등받이에 대지 않고 걸터앉는 자세로 앉으면 또 추가로 20%의 압력이 척추에 가해집니다. 따라서, 의자에 앉을 때는 엉덩이를 깊숙이 넣고 등받이에 허리가 잘 받쳐지도록 하여 허리에 미치는 압력이 등받이로 잘 분산되도록 하는 것이 좋습니다.
물건을 들어올릴 때에도 허리로만 들어올리면 허리에 걸리는 하중이 물건 무게의 10배 정도라고 합니다. 이러한 허리의 과도한 하중은 추간판의 퇴행성 변화를 빨리 오게 하며, 약해진 추간판의 섬유테는 작은 충격에도 쉽게 찢어져 수핵의 탈출을 유발합니다.
허리 근육은 척추에 미치는 압력을 하지로 분산시키는 역할과 척추를 보호하는 역할을 하므로, 허리 근육이 약화되면 척추에 미치는 압력의 분산이 저하됩니다. 따라서 평소 허리 근육을 강화시킬 수 있는 유산소 운동을 꾸준히 하는 것도 디스크 예방에 도움이 됩니다.

상담신청

빠르고 친절하게 상담해드리겠습니다.

[처리방침]

상담신청